Granuloma annulare
Perforating form of granuloma annulare on hand
SpecialtyDermatology Edit this on Wikidata

Granuloma annulare (GA) is a common, sometimes chronic skin condition which presents as reddish bumps on the skin arranged in a circle or ring.[1] It can initially occur at any age, though two-thirds of patients are under 30 years old, and it is seen most often in children and young adults. Females are two times as likely to have it as males.[2]

Signs and symptoms

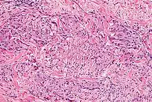
Micrograph showing a palisaded granuloma in a case of granuloma annulare. H&E stain.

Aside from the visible rash, granuloma annulare is usually asymptomatic. Sometimes the rash may burn or itch. People with GA usually notice a ring of small, firm bumps (papules) over the backs of the forearms, hands or feet, often centered on joints or knuckles. The bumps are caused by the clustering of T cells below the skin. These papules start as very small, pimple looking bumps, which spread over time from that size to dime, quarter, half-dollar size and beyond. Occasionally, multiple rings may join into one. Rarely, GA may appear as a firm nodule under the skin of the arms or legs. It also occurs on the sides and circumferential at the waist and without therapy can continue to be present for many years. Outbreaks continue to develop at the edges of the aging rings.

Causes

The condition is usually seen in otherwise healthy people. Occasionally, it may be associated with diabetes or thyroid disease. It has also been associated with autoimmune diseases such as systemic lupus erythematosus, rheumatoid arthritis, Lyme disease and Addison's disease. At this time, no conclusive connection has been made between patients.

Pathology

Granuloma annulare microscopically consists of dermal epithelioid histiocytes around a central zone of mucin—a so-called palisaded granuloma.[3]

Pathogenesis

Granuloma annulare is an idiopathic condition, though many catalysts have been proposed. Among these is skin trauma, UV exposure, vaccinations, tuberculin skin testing, and Borrelia and viral infections.[2][4][5]

The mechanisms proposed at a molecular level vary even more. In 1977, Dahl et al. proposed that since the lesions of GA often display a thickening of, occlusion of, or other trauma to blood vessels, blood vessels may be responsible for GA. From their study of 58 patients, they found that immunoglobin M (IgM), complement, and fibrinogen were in the blood vessels of GA areas, suggesting that GA may share similarities with an immune-mediated, type 3 reaction or that chronic immune vasculitis may be involved in the pathogenesis.[6][7] Another study found evidence suggesting blood vessel involvement with masses of intercellular fibrin and thickened basal lamina found around capillaries.[6][8]

Umbert et al. (1976), proposed an alternative pathogenesis: cell-mediated immunity. Their data suggests that lymphokines, such as macrophage-inhibiting factor (MIF), leads to sequestration of macrophages and histiocytes in the dermis. Then, upon lysosomal enzyme release by these sequestered cells, connective tissue damage ensues, which results in GA.[9] Later, these authors found data suggesting that activation of macrophages and fibroblasts are involved in the pathogenesis of GA and that fibrin and the rare IgM and C3 deposition around vessels were more likely a delayed-type hypersensitivity with resulting tissue and vessel changes rather than an immune-complex mediated disease.[10] Further data has been collected supporting this finding.[6][11][12]

Diagnosis

Types

Granuloma annulare may be divided into the following types:[13]:703–5

Treatment

Because granuloma annulare is usually asymptomatic and self-limiting with a course of about two years, initial treatment is generally topical steroids or calcineurin inhibitors; if unimproved with topical treatments, it may be treated with intradermal injections of steroids. If local treatment fails it may be treated with systemic corticosteroids.[14][15] Treatment success varies widely, with most patients finding only brief success with the above-mentioned treatments. Most lesions of granuloma annulare disappear in pre-pubertal patients with no treatment within two years while older patients (50+) have rings for upwards of 20 years. The appearance of new rings years later is not uncommon.[16]

History

The disease was first described in 1895 by Thomas Colcott Fox as a "ringed eruption of the fingers",[2] and it was named granuloma annulare by Henry Radcliffe Crocker in 1902.[17]

See also

References

  1. Dennis, Mark; Bowen, William Talbot; Cho, Lucy (2012). "Granuloma annulare". Mechanisms of Clinical Signs. Elsevier. p. 525. ISBN 978-0729540759; pbk{{cite book}}: CS1 maint: postscript (link)
  2. 1 2 3 Dermatology. Jean Bolognia, Julie V. Schaffer, Lorenzo Cerroni (Fourth ed.). [Philadelphia, Pa.] 2018. pp. 1650–1653. ISBN 978-0-7020-6342-8. OCLC 1011508489.{{cite book}}: CS1 maint: location missing publisher (link) CS1 maint: others (link)
  3. Günaştı, Suhan; Aksungur, Varol L. (January 2014). "Granulomatous disorders". Clinics in Dermatology. 32 (1): 47–65. doi:10.1016/j.clindermatol.2013.05.025. PMID 24314377.
  4. Tekin, Tamer (2010). "A case of unusual cranial fracture due to land mine explosion". Turkish Neurosurgery. doi:10.5137/1019-5149.jtn.3529-10.2. ISSN 1019-5149.
  5. Marcoval, Joaquim; Moreno, Abelardo; Maña, Juan (August 2004). "Foreign bodies in cutaneous sarcoidosis: Letter to the Editor". Journal of Cutaneous Pathology. 31 (7): 516. doi:10.1111/j.0303-6987.2004.00225.x. PMID 15239685. S2CID 42375301.
  6. 1 2 3 Piette, Evan W.; Rosenbach, Misha (September 2016). "Granuloma annulare: Pathogenesis, disease associations and triggers, and therapeutic options". Journal of the American Academy of Dermatology. 75 (3): 467–479. doi:10.1016/j.jaad.2015.03.055. PMID 27543210.
  7. Dahl, Mark V. (1977-04-01). "Vasculitis in Granuloma Annulare: Histopathology and Direct Immunofluorescence". Archives of Dermatology. 113 (4): 463–467. doi:10.1001/archderm.1977.01640040071010. ISSN 0003-987X. PMID 322621.
  8. Friedman-Birnbaum, Rachel; Ludatscher, Ruth M. (August 1986). "Comparative Ultrastructural Study of Generalized and Localized Granuloma Annulare". The American Journal of Dermatopathology. 8 (4): 302–308. doi:10.1097/00000372-198608000-00005. ISSN 0193-1091. PMID 3766919.
  9. Umbert, Pablo; Belcher, Richard W.; Winkelmann, R. K. (1976). "Lymphokines (MIF) in the serum of patients with sarcoidosis and cutaneous granuloma annulare". British Journal of Dermatology. 95 (5): 481–485. doi:10.1111/j.1365-2133.1976.tb00857.x. ISSN 1365-2133. PMID 791335. S2CID 7026704.
  10. Umbert, Pablo (1977-12-01). "Histologic, Ultrastructural, and Histochemical Studies of Granuloma Annulare". Archives of Dermatology. 113 (12): 1681–1686. doi:10.1001/archderm.1977.01640120049007. ISSN 0003-987X. PMID 596898.
  11. Bergman, Reuven; Lichtig, Chaim; Friedman-Birnbaum, Rachel (December 1993). "Histopathological and Direct Immunofluorescence Study of Early Lesions, and the Adjacent Normal-Looking Skin of Actively Spreading Lesions". The American Journal of Dermatopathology. 15 (6): 544–548. doi:10.1097/00000372-199312000-00005. ISSN 0193-1091. PMID 8311184.
  12. Buechner, S. A. (1983-02-01). "Identification of T-cell Subpopulations in Granuloma Annulare". Archives of Dermatology. 119 (2): 125–128. doi:10.1001/archderm.1983.01650260033012. ISSN 0003-987X. PMID 6218788.
  13. James, William D.; Berger, Timothy G.; et al. (2006). Andrews' Diseases of the Skin: Clinical Dermatology. Saunders Elsevier. ISBN 0-7216-2921-0.
  14. "Granuloma Annulare Treatment". www.buzzle.com. Archived from the original on 2010-01-25.
  15. "Granuloma annulare | DermNet NZ".
  16. Ghadially, Ruby (15 October 2020). "Granuloma Annulare: Treatment & Management". Medscape. Retrieved 19 August 2023.
  17. Shanmuga1, Sekar C.; Rai1, Reena; Laila1, A.; Shanthakumari, S.; Sandhya, V. (2010), "Generalized granuloma annulare with tuberculoid granulomas: A rare histopathological variant", Indian Journal of Dermatology, Venereology and Leprology, 76 (1): 73–75, doi:10.4103/0378-6323.58691, PMID 20061743, retrieved 23 May 2010{{citation}}: CS1 maint: numeric names: authors list (link)
This article is issued from Wikipedia. The text is licensed under Creative Commons - Attribution - Sharealike. Additional terms may apply for the media files.