KRT7
Available structures
PDBOrtholog search: PDBe RCSB
Identifiers
AliasesKRT7, CK7, K2C7, K7, SCL, keratin 7
External IDsOMIM: 148059 MGI: 96704 HomoloGene: 4058 GeneCards: KRT7
Orthologs
SpeciesHumanMouse
Entrez

3855

110310

Ensembl

ENSG00000135480

ENSMUSG00000023039

UniProt

P08729

Q9DCV7

RefSeq (mRNA)

NM_005556

NM_033073

RefSeq (protein)

NP_005547

NP_149064

Location (UCSC)Chr 12: 52.23 – 52.25 MbChr 15: 101.31 – 101.33 Mb
PubMed search[3][4]
Wikidata
View/Edit HumanView/Edit Mouse

Keratin, type II cytoskeletal 7 also known as cytokeratin-7 (CK-7) or keratin-7 (K7) or sarcolectin (SCL) is a protein that in humans is encoded by the KRT7 gene.[5][6][7] Keratin 7 is a type II keratin. It is specifically expressed in the simple epithelia lining the cavities of the internal organs and in the gland ducts and blood vessels.

Function

Keratin-7 is a member of the keratin gene family. The type II cytokeratins consist of basic or neutral proteins which are arranged in pairs of heterotypic keratin chains coexpressed during differentiation of simple and stratified epithelial tissues. This type II cytokeratin is specifically expressed in the simple epithelia lining the cavities of the internal organs and in the gland ducts and blood vessels. The genes encoding the type II cytokeratins are clustered in a region of chromosome 12q12-q13. Alternative splicing may result in several transcript variants; however, not all variants have been fully described.[7]

Keratin-7 is found in simple glandular epithelia, and in transitional epithelium. Epithelial cells of the lung and breast both contain keratin-7, but some other glandular epithelia, such as those of the colon and prostate, do not.

Immunohistochemistry

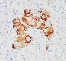
Immunohistochemistry for CK7 of a metastatic undifferentiated carcinoma to a lymph node.

Because the keratin-7 antigen is found in both healthy and neoplastic cells, antibodies to CK7 can be used in immunohistochemistry to distinguish ovarian and transitional cell carcinomas (staining positive) from colonic and prostate cancers (negative), respectively. It is commonly used together with CK20 when making such diagnoses.[8]

References

  1. 1 2 3 GRCh38: Ensembl release 89: ENSG00000135480 - Ensembl, May 2017
  2. 1 2 3 GRCm38: Ensembl release 89: ENSMUSG00000023039 - Ensembl, May 2017
  3. "Human PubMed Reference:". National Center for Biotechnology Information, U.S. National Library of Medicine.
  4. "Mouse PubMed Reference:". National Center for Biotechnology Information, U.S. National Library of Medicine.
  5. Rosenberg M, Fuchs E, Le Beau MM, Eddy RL, Shows TB (Aug 1991). "Three epidermal and one simple epithelial type II keratin genes map to human chromosome 12". Cytogenetics and Cell Genetics. 57 (1): 33–8. doi:10.1159/000133109. PMID 1713141.
  6. Schweizer J, Bowden PE, Coulombe PA, Langbein L, Lane EB, Magin TM, Maltais L, Omary MB, Parry DA, Rogers MA, Wright MW (Jul 2006). "New consensus nomenclature for mammalian keratins". The Journal of Cell Biology. 174 (2): 169–74. doi:10.1083/jcb.200603161. PMC 2064177. PMID 16831889.
  7. 1 2 "Entrez Gene: KRT7 keratin 7".
  8. Leong, Anthony S-Y; Cooper, Kumarason; Leong, F Joel W-M (2003). Manual of Diagnostic Cytology (2 ed.). Greenwich Medical Media, Ltd. p. 173. ISBN 978-1-84110-100-2.

Further reading

This article is issued from Wikipedia. The text is licensed under Creative Commons - Attribution - Sharealike. Additional terms may apply for the media files.