| Malignant acrospiroma | |
|---|---|
| Other names | Hidradenocarcinoma, and Spiradenocarcinoma[1] |
![]() | |
| Specialty | Oncology |
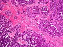
A malignant acrospiroma is a sweat gland carcinoma of the hand, which may recur locally in 50% of patients after excision, with distant metastases occurring in 60% of patients.[2]
See also
References
- ↑ Rapini, Ronald P.; Bolognia, Jean L.; Jorizzo, Joseph L. (2007). Dermatology: 2-Volume Set. St. Louis: Mosby. ISBN 978-1-4160-2999-1.
- ↑ Wilson KM, Jubert AV, Joseph JI (May 1989). "Sweat gland carcinoma of the hand (malignant acrospiroma)". J Hand Surg Am. 14 (3): 531–5. doi:10.1016/S0363-5023(89)80018-8. PMID 2544641.
External links
This article is issued from Wikipedia. The text is licensed under Creative Commons - Attribution - Sharealike. Additional terms may apply for the media files.
